"Doctor, mujhe crown chahiye ya filling kaafi hai?" — This is one of the most common questions Dr. Ankita Jindal Poddar hears at North Delhi Dental Clinic every week. And it's a fair one. Both treatments fix damaged teeth, but Continue Reading
Bleeding gums, swollen gums, bad breath that won’t go away — if any of these sound familiar, you may need gum treatment. Many patients in Delhi delay treatment because they’re unsure about the cost. The good news? Most gum problems Continue Reading
When you search for a dentist in Delhi, you get hundreds of results. But how do you know if the dentist you're considering is actually qualified, ethical, and up-to-date with modern techniques? One of the most reliable ways is to Continue Reading
Dealing with wisdom tooth pain and wondering how much it will cost to get it removed? You're not alone — wisdom tooth extraction is one of the most common dental procedures in India, with 8 out of 10 adults needing Continue Reading
A smile makeover can be life-changing — whether it's for your wedding, a career milestone, or simply feeling more confident every day. But what does it actually cost in Delhi? In this guide, we break down smile makeover cost for Continue Reading
Dental cleaning — also called scaling or prophylaxis — is one of the most underrated dental treatments. At just ₹500–₹5,000, it's the cheapest way to protect your teeth from cavities, gum disease, and expensive procedures. Here's what dental cleaning costs Continue Reading
Thinking about straightening your teeth? Braces cost in Delhi varies dramatically depending on the type you choose — from ₹25,000 for metal braces to ₹3,50,000 for Invisalign. This guide compares every option so you can find the right fit for Continue Reading
A bright, white smile can transform your confidence — and professional teeth whitening in Delhi is more accessible than ever. But with options ranging from ₹1,500 strips to ₹15,000 in-office treatments, how do you know what's worth your money? This Continue Reading
Toothache keeping you up at night? A root canal might be the solution — and it's more affordable than you think. Many patients in Delhi delay treatment due to cost fears, but this can lead to more expensive procedures later. Continue Reading
Considering dental implants but worried about the cost? You're not alone. Dental implant cost in Delhi varies widely — from ₹25,000 to over ₹90,000 per tooth — and understanding what drives the price helps you make an informed decision. In Continue Reading
Brushing your teeth twice daily is the foundation of good oral hygiene. However, many people are confused about whether to use a power (electric) toothbrush or a regular manual toothbrush. Both are effective when used correctly, but each has its Continue Reading
Root Canal Treatment (RCT) is a common dental procedure used to save a severely infected or damaged tooth. With advancements in dental technology, patients now have the option to choose between single sitting RCT and multiple sitting RCT. Understanding the Continue Reading
Children are more prone to tooth decay because their enamel is still developing and they often consume sugary foods. One of the most effective ways to protect young teeth from cavities is fluoride therapy. It is a safe, quick, and Continue Reading
Brushing alone is not enough to maintain proper oral hygiene. Food particles and plaque often get trapped between teeth where a toothbrush cannot reach. That’s why dentists strongly recommend flossing daily. Today, many people are confused about choosing between a Continue Reading
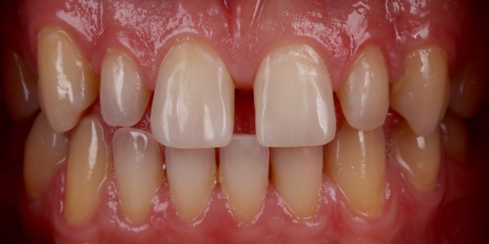
A gap between the two upper front teeth, known as midline diastema, is a common dental concern among both children and adults. While some people love the unique charm of this gap, others prefer to close it for aesthetic, functional, Continue Reading
Traditional dental drills can make many patients anxious, but dentistry has evolved with the introduction of laser fillings — a modern, painless, and highly precise way to treat cavities. If you’re looking for advanced laser dental treatment in the capital, Continue Reading
Dental fillings and crowns help restore damaged teeth, but they also require proper care—especially during the first few days after the procedure. One of the most important instructions your dentist will give you is to avoid chewing hard foods, including Continue Reading
Warm saline rinses (saltwater gargles) are one of the most effective and time-tested oral care practices. This simple mixture of warm water and salt is often recommended by dentists for improving gum health, soothing inflammation, speeding healing, and preventing infections. Continue Reading
Multiple Methods of Midline Diastema Correction in Delhi – Close the Gap & Transform Your Smile A midline diastema refers to the noticeable gap between the upper front teeth. While some people embrace it as a unique feature, many seek Continue Reading
One of the simplest yet most overlooked habits for maintaining good oral hygiene is regularly replacing your toothbrush. Dentists across the world recommend changing your toothbrush once every 3 months — or sooner if the bristles become worn out. In Continue Reading
Dental Veneers in Delhi, India – Types, Cost, Benefits & The Best Dental Clinic for Smile Makeovers Veneers are one of the most popular cosmetic dental treatments for achieving a flawless, radiant smile. Whether you want to fix discoloration, chipped Continue Reading
When it comes to restoring damaged or weakened teeth, dental crowns play a vital role in protecting tooth structure and enhancing aesthetics. In Delhi, patients often find themselves comparing two popular crown options: Zirconia Crowns and PFM (Porcelain Fused to Continue Reading
Mouthwash is commonly seen as a quick fix for bad breath and oral hygiene, but using it too often can actually do more harm than good. Many people assume that if a little mouthwash is good, then more must be Continue Reading
Gone are the days when patients had to sit uncomfortably with trays full of sticky dental putty in their mouths to capture tooth impressions. Thanks to modern technology, digital impressions have revolutionized dentistry, making the process faster, cleaner, and far Continue Reading
Good oral hygiene involves more than just brushing your teeth twice a day. Flossing is equally important for removing plaque and debris between teeth where a toothbrush can’t reach. However, many people find traditional string floss uncomfortable or difficult to Continue Reading
Good oral health starts early. As parents, ensuring that children develop strong, healthy teeth is one of the best gifts you can give them. Regular preventive dental check-ups for kids help detect potential issues before they turn into bigger problems Continue Reading
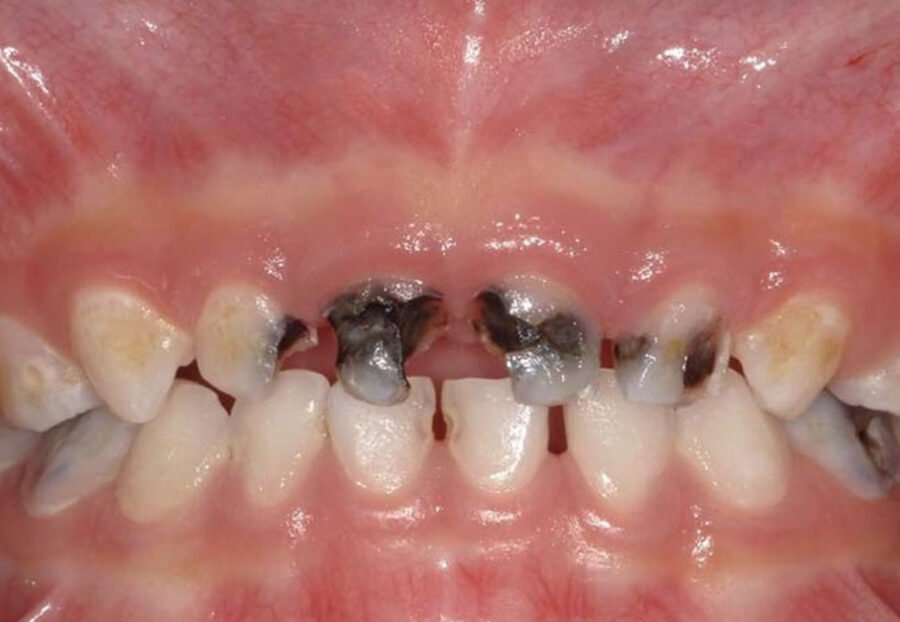
Dental caries (tooth decay or cavities) often begin silently. Detecting the early signs can save your tooth, reduce treatment complexity, and prevent pain. This guide explains the common early warning signs and what to do if you notice them. What Continue Reading
Laser Assisted Dentistry in Delhi: The Future of Painless Dental Care Modern dentistry has advanced far beyond drills and scalpels. Today, laser assisted dentistry has transformed the way dental treatments are performed — offering precision, comfort, and faster recovery. For Continue Reading
Immediate Implants in Delhi: The Fastest Way to Restore Your Smile Tooth loss can affect not only your appearance but also your confidence and ability to chew properly. Fortunately, modern dentistry offers a quick and reliable solution — Immediate Dental Continue Reading
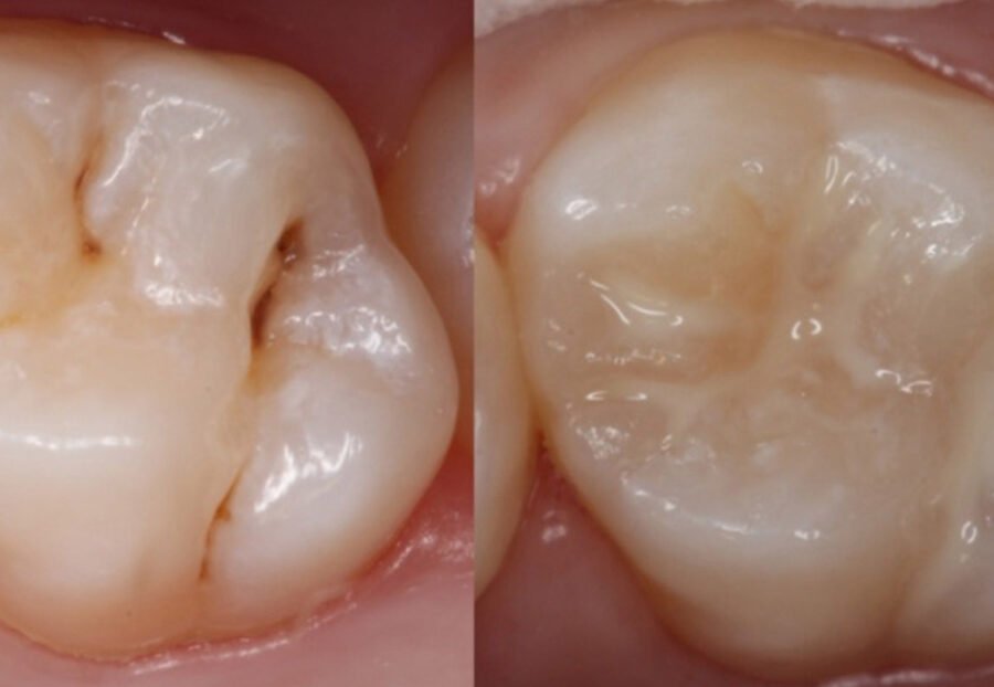
Composite vs GIC Fillings: Which Is Better for You? When it comes to treating cavities and restoring damaged teeth, choosing the right type of filling material is essential. The two most commonly used options are Composite Fillings and Glass Ionomer Continue Reading
Importance of Water Intake for Prevention of Gum and Teeth Disease We often hear that drinking enough water is essential for overall health, but did you know that it’s equally vital for your oral health? Water plays a major role Continue Reading
Hyposalivation and Caries Saliva plays a crucial role in maintaining oral health. It not only keeps your mouth moist but also protects teeth from decay, helps in digestion, and maintains the pH balance. When saliva production decreases significantly—a condition known Continue Reading
Dental impactions are a common condition where a tooth fails to fully erupt into its normal position in the mouth. This usually happens due to lack of space, misalignment, or obstruction by other teeth. The most commonly impacted teeth are Continue Reading
Dental caries, commonly known as tooth decay, is one of the most common dental problems in children. With sugary diets and improper oral hygiene habits, kids are at a higher risk of developing cavities. One of the most effective and Continue Reading
Have you noticed your teeth gradually moving out of their natural position, creating gaps or spaces where there were none before? This condition is called pathological migration. Unlike normal tooth movement, pathological migration happens due to underlying dental or periodontal Continue Reading
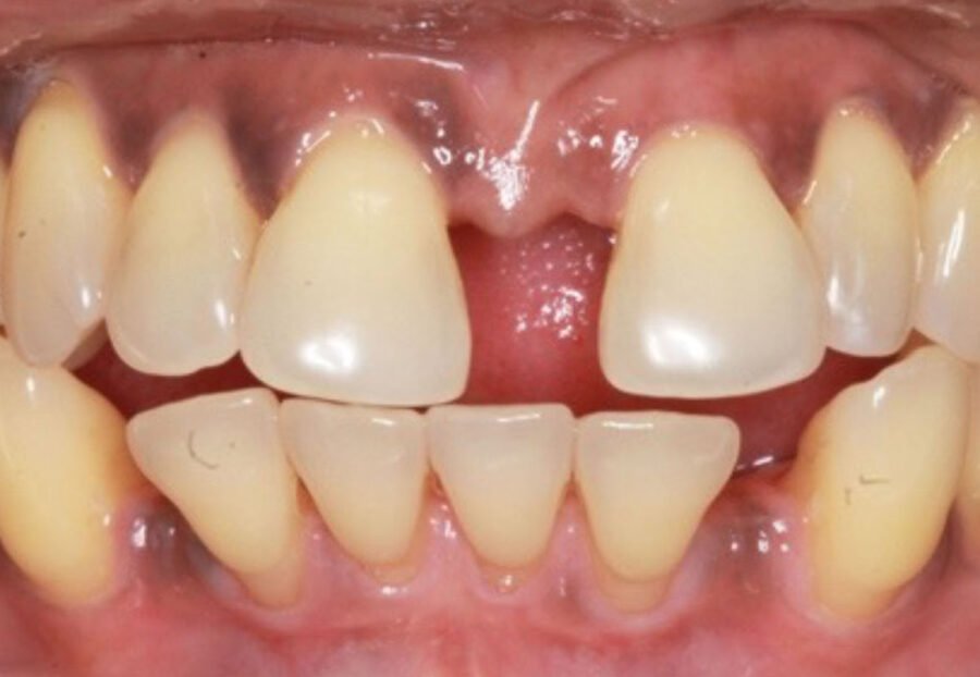
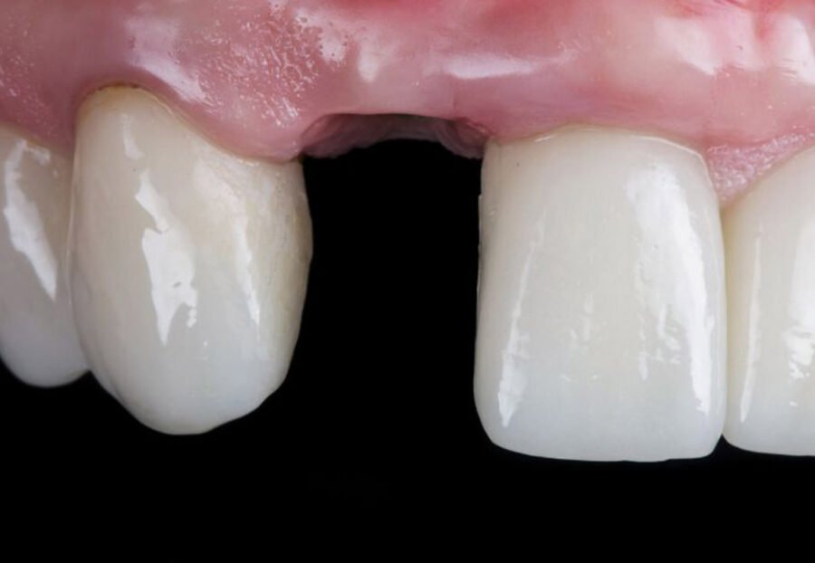
Many people believe that losing a single tooth is not a big issue, especially if it is not visible when they smile. However, every tooth plays an important role in maintaining your oral health, facial structure, and overall well-being. Ignoring Continue Reading
Your mouth often gives you early warning signs of underlying health issues. One such warning sign is the appearance of red patches, white lesions, or ulcers that do not heal on their own. While some sores may be harmless, persistent Continue Reading
Stress affects more than your mood and sleep — it often leaves clear signs in your mouth. Dentists frequently spot stress-related problems during routine exams, from worn teeth to inflamed gums. Understanding these signs helps you act early and protect Continue Reading
A professional teeth cleaning or whitening session can transform your smile instantly. But once you leave the dental chair, the real challenge begins—maintaining that bright, confident smile for as long as possible. At North Delhi Dental Clinic, Model Town’s best Continue Reading
Cost-Effective Dental Care in Delhi: Quality You Can Trust Quality dental care doesn’t have to cost a fortune. With the right clinic and preventive mindset, you can receive top-notch dental treatment in Delhi that fits your budget. Whether it’s a Continue Reading
We’ve all heard the saying—"a stitch in time saves nine." In dentistry, that stitch is a dental restoration. Whether it’s a small cavity or a chipped tooth, early intervention with a filling or restoration can prevent bigger, more painful, and Continue Reading
Aligners vs Fixed Braces: Which is Right for You? Orthodontic treatments have come a long way from the traditional metal braces. Today, patients can choose between modern clear aligners and conventional fixed braces to correct misaligned teeth. But which option Continue Reading
Importance of Gum Health: How It Helps Avoid the Risk of Heart Disease When it comes to dental care, most people focus on teeth. But your gums play an equally important role in your overall health. Research has shown a Continue Reading
Zoom Bleach System for Teeth Whitening: A Brighter Smile in Just One Visit Are you dreaming of a dazzling white smile that turns heads? The Zoom Bleach System, also known as Zoom Teeth Whitening, is one of the most effective Continue Reading
Braces are more than just a cosmetic solution—they’re a long-term investment in your dental health. Whether you're dealing with misaligned teeth, bite issues, or overcrowding, orthodontic treatment can help you achieve a beautiful and functional smile. If you're searching for Continue Reading
Full mouth rehabilitation, also known as full mouth reconstruction, is a comprehensive dental treatment that involves rebuilding or restoring all of the teeth in both the upper and lower jaws. Whether it's due to trauma, disease, or long-term neglect, this Continue Reading
Have you ever dreaded the goopy, uncomfortable dental impressions of the past? Thanks to modern technology, those days are behind us. Digital impressions are transforming the way dentists capture detailed images of your teeth—quickly, precisely, and without discomfort. At North Continue Reading
Orthodontic care has come a long way, offering patients various options to align their teeth and improve oral function. One such flexible option is removable appliances. These devices are custom-made to fit inside the mouth and can be taken out Continue Reading
Losing a tooth can be stressful, but what if you could walk out of the clinic with a dental implant on the same day? Thanks to advancements in modern dentistry, Immediate Implants make it possible. At North Delhi Dental Clinic, Continue Reading
Paediatric Crowns: Restoring Little Smiles with Care When it comes to protecting your child’s teeth, paediatric crowns play a vital role in restoring decayed or damaged baby teeth. While many parents assume baby teeth are temporary and less important, the Continue Reading
If you are considering getting a permanent teeth cap (also known as a dental crown) to restore a damaged or weak tooth, understanding the cost is important. At North Delhi Dental Clinic in Continue Reading
Are dark or discolored gums affecting your smile confidence? Laser gum depigmentation is a modern, safe, and effective cosmetic procedure that can help restore the natural pink color of your gums. At North Delhi Dental Clinic in Model Town, Delhi, Continue Reading
Tooth decay is a common dental problem that, if left untreated, can lead to pain, infection, and even tooth loss. One of the most effective ways to treat cavities and restore tooth function is through dental tooth filling. At North Continue Reading
A beautiful smile is a key to confidence, but sometimes excessive gum display, commonly called a gummy smile, can make people feel self-conscious. If you’re struggling with a gummy smile, help is available at North Delhi Dental Clinic in Model Continue Reading
If you’re considering enhancing your smile, dental veneers can be an excellent choice. At North Delhi Dental Clinic in Model Town, Delhi, we help patients make informed decisions about veneers to achieve a natural, confident smile. Here’s what you need Continue Reading
A healthy smile starts with good daily habits. At North Delhi Dental Clinic in Model Town, Delhi, our dental experts emphasize the importance of a consistent dental care routine to prevent cavities, gum disease, and other oral health problems. Morning Continue Reading
Missing teeth can affect your smile, speech, and confidence. Dental implants offer a durable, natural-looking solution, but many worry about the cost. If you’re searching for affordable dental implants in North Delhi, North Delhi Dental Clinic in Model Town is Continue Reading
Parents today want the best dental care for their children, especially when it comes to straightening their teeth. Traditional braces can sometimes feel intimidating or uncomfortable for kids. That’s why Invisalign treatment has become a popular choice for children in Continue Reading
A confident smile can truly change your life. Whether you're preparing for a big event or simply want to feel more comfortable in your skin, a smile makeover can enhance both your appearance and self-esteem. At North Delhi Dental Clinic Continue Reading
Dental visits no longer have to be associated with discomfort or fear. Thanks to advancements in modern dentistry, laser dental treatments offer patients a faster, more comfortable, and highly accurate alternative to traditional methods. At North Delhi Dental Clinic in Continue Reading
Experiencing tooth pain or sensitivity? You might need a root canal treatment. But before moving forward, many patients naturally ask: How much does a root canal cost in North Delhi? At North Continue Reading
Your smile is often the first thing people notice about you. But if you're not happy with your smile, it can affect how you feel about yourself. At North Delhi Dental Clinic in Model Town, Delhi, we believe that everyone Continue Reading
Looking for high-quality dental care in Delhi? Choosing the right dental clinic can make a world of difference in your oral health. At North Delhi Dental Clinic in Model Town, we pride ourselves on offering exceptional care that meets the Continue Reading
Do you wake up with jaw pain or headaches? You might be suffering from bruxism, a condition commonly known as teeth grinding. At North Delhi Dental Clinic in Model Town, Delhi, we offer advanced diagnosis and effective treatment options to Continue Reading
As a parent, you want the best for your child’s health—and that includes their dental health. One of the most common questions we get at North Delhi Dental Clinic in Model Town, Delhi is: “When should I take my child Continue Reading
Missing a tooth and confused whether to go for a single tooth implant or a dental bridge? At North Delhi Dental Clinic in Model Town, Delhi, we help patients make informed decisions based on their unique needs, budget, and oral Continue Reading
Finding the best dentist in Model Town, Delhi, can be a daunting task with so many options available. Whether you need a routine check-up, cosmetic dentistry, or specialized treatment, choosing a trusted and experienced dentist is crucial. In this blog, Continue Reading
Maintaining good oral hygiene is essential for a healthy smile and overall well-being. While brushing your teeth is a fundamental part of dental care, flossing plays an equally important role in preventing cavities and gum diseases. Traditional flossing can be Continue Reading
At North Delhi Dental Clinic, a premier dental clinic in Delhi, we offer a comprehensive range of dental treatments designed to cater to diverse oral health needs. Our commitment to quality care is matched Continue Reading
Dental implants have revolutionized tooth replacement by offering a long-term, natural-looking solution for missing teeth. For individuals with extensive tooth loss, full mouth dental implants provide a functional and aesthetically pleasing alternative to dentures. If you are considering full mouth Continue Reading
Maintaining good oral hygiene is essential for a healthy smile, and professional teeth cleaning plays a crucial role in preventing dental issues like cavities, gum disease, and bad breath. If you're considering professional teeth cleaning in Delhi, you might be Continue Reading
Orthodontic treatments have evolved significantly over the years, and one of the latest advancements is the use of orthodontic implants. These implants, also known as temporary anchorage devices (TADs), provide additional support in moving teeth efficiently and effectively. Whether you Continue Reading
When considering orthodontic treatment, one of the key decisions is choosing between traditional braces and self-ligating braces. Both options effectively straighten teeth and correct bite issues, but they have distinct features, benefits, and potential drawbacks. Understanding their differences can help Continue Reading
Role of Braces in Crowded Teeth: A Pathway to Perfect Smiles In the journey towards achieving a perfect smile, crowded teeth often pose a significant challenge. Crowding occurs when there is insufficient space within the jaw for all the teeth Continue Reading
When it comes to straightening teeth and achieving a confident smile, both braces and aligners are effective options. Each method has its own set of advantages and considerations, making the choice between the two a significant decision. At North Delhi Continue Reading
A well-aligned jaw is not just an aesthetic asset but also a crucial factor in maintaining oral health and overall well-being. However, many individuals face the challenge of an asymmetrical jaw, which can result from genetics, trauma, or developmental issues. Continue Reading
When it comes to maintaining optimal oral health, some procedures might not be commonly discussed but are essential for specific conditions. One such procedure is a frenectomy. At North Delhi Dental Clinic, we specialize in providing comprehensive dental care, including Continue Reading
In recent years, the term "antimicrobial resistance" (AMR) has become a buzzword in healthcare discussions worldwide. While it might sound like a distant, scientific concept, AMR is a real and pressing threat that affects each of us. One of the Continue Reading
Healthy gums are the foundation of a beautiful smile and overall oral well-being. However, gum diseases like periodontitis can compromise oral health, leading to tooth loss and other complications if untreated. One advanced treatment for severe gum issues is flap Continue Reading
The Importance of Restoring a Missing Tooth A complete set of teeth is essential for maintaining good oral health and overall well-being. Losing a tooth, whether due to injury, decay, or gum disease, can significantly impact your appearance, confidence, and Continue Reading
Dental implants are a revolutionary solution for missing teeth, offering unparalleled stability, functionality, and aesthetics. However, ensuring the exact placement of implants is critical to achieving the best results. That’s where surgically guided implants come in—a cutting-edge approach that uses Continue Reading
Painless Single Sitting Root Canal Treatment: A Modern Dental Marvel Gone are the days when a root canal treatment (RCT) required multiple dental visits, weeks of discomfort, and lengthy procedures. Thanks to advancements in dental technology and techniques, single sitting Continue Reading
Traditional dental implants rely on adequate jawbone density for placement, making them unsuitable for patients with significant bone loss. However, advancements in dental technology have introduced a groundbreaking alternative: zygomatic implants. These specialized implants provide a stable, long-lasting solution, even Continue Reading
Ultrasonic Dental Cleaning: The Next Level of Dental HygieneMaintaining proper oral hygiene is essential for overall health, and professional dental cleaning plays a vital role in achieving this goal. Among the most Continue Reading
Teeth Whitening: Brighten Your Smile with Confidence What is Teeth Whitening? Teeth whitening is a cosmetic dental procedure that removes stains and discoloration from the surface of your teeth. It lightens the Continue Reading
Oral Pyogenic Granuloma Diagnosis & Treatment in Delhi An "oral pyogenic granuloma" refers to the occurrence of a pyogenic granuloma within the oral cavity. Pyogenic granulomas can develop on the mucous membranes Continue Reading
Our Professional dentists in Delhi at our clinic possess several qualities that contribute to their effectiveness and the quality of care we provide. Here are some key qualities of our dentist at NDDC: Knowledge and Expertise: Our dentists have a Continue Reading
Dental tooth filling is a common treatment used to repair teeth that have been damaged by decay or cavities. It involves removing the decayed portion of the tooth and filling the resulting space with a dental filling material. The filling Continue Reading
Achieve a Dazzling Smile with Instant Teeth Whitening Treatment in Delhi Introduction: A radiant, white smile can enhance your appearance and boost your confidence. If you're looking for a quick and effective Continue Reading
To alleviate sensitive tooth pain, you can try the following tips: Use desensitizing toothpaste: Switch to a toothpaste specifically designed for sensitive teeth. These toothpaste brands contain compounds that help block the transmission of sensations from the tooth surface to Continue Reading
If you're looking to restore a damaged tooth, a zirconia tooth cap might be a great option for you. Zirconia caps are made from a high-strength ceramic material that is both durable and aesthetically pleasing, making them a popular choice Continue Reading
Oral health is an essential aspect of overall well-being. Regular dental check-ups and treatments are essential to maintain healthy teeth and gums. Choosing the right dental clinic can be a daunting task, especially in a city like Delhi, where there Continue Reading
A gap between your teeth, also known as diastema, is a common dental concern that affects many people. Some people are happy with their gap, while others feel self-conscious and would like to get rid of it. In this blog, Continue Reading
Mild spacing treatment possible -Fixed orthodontics is a branch of dentistry's orthodontics that Continue Reading
Bad breath treatment in our Delhi based clinic (NDDC) by expert dentist Dr. Ankita Jindal Bad breath, known as halitosis is an off-kilter condition, causing anxiety. A few products are there like gum, mints, and mouthwashes that briefly assist with Continue Reading
Smile designing & makeover in Delhi, India by expert dentist Dr. Ankita Jindal We imagine that you probably want to meet with a dentist that is professional, friendly, and capable of performing every dental practice with care and high-quality equipment. Continue Reading
How to brush your teeth - Tips / Steps / SuggestionsBrushing your teeth is an important part of your dental health and care. Brushing your teeth is not just for a white Continue Reading
Oral lichen planus is a long-lasting disease. It can affect the mouth and sometimes other areas of the body. It appears in mouth and is called 'oral lichen planus'. Oral lichen planus usually happens from middle age onwards, and Continue Reading
Mandibular fractures have a high incidence among maxillofacial fractures. Intermaxillary fixation (IMF) is used to treat mandibular fractures and one common procedure involves fixation using steel wire and a splint (wire fixation). Wire fixation offers strong fixing force, often requires Continue Reading
Dental problems in children Pediatric dentistry is a branch of dentistry that deals with children from birth till adolescence. Pediatric dental care is important to ensure the good oral health of children and prevention from cavities, decay, gum diseases, and Continue Reading
Guide to gum recession Receding gums Receding gums or gum recession is a condition in which the gum tissue that surrounds the teeth pulls back or wears away from the tooth surface, thus exposing more of the tooth surface. Gum Continue Reading
Dental Implants Dental implant surgery is a procedure in which the tooth roots are replaced by a surgical fixture to replace a missing or damaged tooth. The implants are placed in the jawbone and are allowed to fuse with it Continue Reading
Fluoride and oral health Fluoride is a natural mineral present in our teeth and bones. In dentistry, fluoride is an important component that helps to support healthy tooth enamel and prevent cavities. Tooth enamel is the hard, white outer layer Continue Reading
Your teeth are an important component of your dental cavity. Having healthy, strong, and white teeth are a way to good oral health and a brighter smile. Discolored, stained, and unhealthy teeth are not only the potential cause of dental Continue Reading
What is root canal therapy? Root canal therapy is a treatment done to remove the infection and retain the natural tooth. The treatment involves cleaning of the infected pulp and restoration of the exterior hole by dental filling or placing Continue Reading
What is oral cancer? Cancer is defined as an uncontrolled growth of cells without any differentiation. Oral cancer includes cancers that occur at any part of the mouth and throat. It can affect the lips, tongue, gums, cheek, the floor Continue Reading
Regular dental check up are essential for maintaining healthy teeth and gums. Indian dental Association too recommends the same thereby preventing a host of oral health problems. Prevention is a hallmark of modern dentistry believing in preserve natural teeth as Continue Reading
Brushing your teeth is an important part of your dental care routine, for a healthy mouth we recommend to brush twice a day with soft or ultra soft tooth brush with the size and shape that fits your mouth allowing Continue Reading
Studies have found out that routine dental care may protect against severe covid complications, The patient should continue routine dental appointments in order to achieve oral hygiene interventions gum or periodontal and dental treatments which have the potential to decrease Continue Reading






















































































